하지정맥류란?
하지정맥류 원인
가족력
하지정맥류 환자의 70-80%에서 유전적 요인이 발견됨
노화
노화로 혈관의 탄력 저하로 판막의 기능이 약화됨
임신
호르몬 변화 및 높아진 복압이 혈액순환을 방해함
생활습관
오래 서 있거나 앉아있는 직업, 다리의 압력을 높이는 자세
비만
다리 혈관이 받는 하중이 커져 판막이 손상되기 쉬움
하지정맥류 종류
발생 위치와 형태에 따라 크게 3가지로 분류됩니다.
Scroll →
| 모세혈관확장증 | 망상정맥 | 정맥류 | |
|---|---|---|---|
| 모양 | ![]() |
![]() |
![]() |
| 형태 | 지름 1mm 이하의 실핏줄이 눈에 보인다면 모세혈관 확장증을 의심해 보셔야 합니다 |
지름 1~3mm의 푸른색을 띠는 확장된 정맥이며, 보통 구불구불한 모양을 띄고 있습니다 |
혈관이 직경 3mm이상으로 늘어나 확연히 튀어나와 보입니다. |
하지정맥류 진단은
혈액의 역류!
하지정맥류 진단은 혈액의 역류 진단은 육안으로는 다 알 수 없습니다.
혈관 초음파를 통해 발병 부위를 면밀히 관찰해야 합니다.
역류 0.5초 이상 역류 시 진단

Scroll →
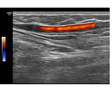
| 정상 하지정맥 | 역류가 일어난 하지정맥 | |
|---|---|---|
| 초음파 비교 | ![]() |
![]() |
| 검사 방법 |
도플러 초음파 검사라는 혈관 초음파 검사를 통해 고장난 판막의 위치와 역류 시간을 정확하게 파악할수 있는 검사입니다. |
|
| 치료의 중요성 |
한 번 발병하면 시간차를 두고 증상이 점점 심해지므로, 근본 원인을 찾아 치료하는 것이 매우 중요합니다. |
|
하지정맥류 치료법 비교
Scroll →
| 치료법 | 혈관경화요법 | 정맥류 국소제거술 |
발거술 | 레이저수술 | 고주파수술 | 베나실 | 클라리베인,플레보그립 |
|---|---|---|---|---|---|---|---|
| 치료 원리 | 경화제를 주사로 주입하여 혈관의 섬유화를 유발하여 치료 |
국소마취를 하여 혈관을 제거 |
복재정맥을 근본적으로 절개하여 제거 |
레이저 에너지를 이용하여 100~1000도로 가열하여 치료 |
고주파 에너지를 이용하여 120도로 일정하게 가열하여 치료 |
생체 접착물질로 역류하는 혈관을 접착 차단하여 치료 |
물리적 자극을 통해 정맥 내피층에 약물을 주입해 차단하여 치료 |
하지정맥류 자가진단
다리가 욱신거리고 저리는 통증이 있는 경우
다리 가려움증을 자주 느끼는 경우
다리가 무겁게 느껴지는 경우
잘 때 다리에 쥐가 잘 나는 경우
다리가 잘 붓는 경우
발가락이 무감각하고 발바닥 통증이 있는 경우
아침보다 오후/저녁시간이 되면 다리가 많이 붓고 쉽게 피로감을 느끼는 경우
하지정맥류는 근본적인 치료가 중요합니다.
하지정맥류는 선천적으로 정맥 내벽이 약하거나 가족력 등의 선천적 요인과
생활습관, 호르몬 등의 후천적 요인으로 인해 나타날 수도 있습니다.
육안으로 보이지는 않지만 다리통증, 무거움, 저림, 부종, 야간 근육경련, 가려움,
다리 열감, 피로감 등의 불편감이 있다면 조기 치료를 위해 내원 후 상담 받으시는 것이 좋습니다.
다리통증, 무거움
야간 근육경련, 가려움 등의 증상
광주도담외과는
환자를 먼저 생각합니다.